Smile Transformations
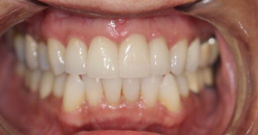
Scroll over the image and scroll left to right to see the before and after
Address: 1002 Clinton St. Dunbarton, NH 03046
Address: 1002 Clinton St. Dunbarton, NH 03046
Call Today! (603) 774-2000
Call Today! (603) 774-2000
Scroll over the image and scroll left to right to see the before and after









